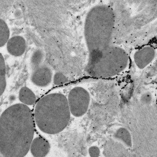
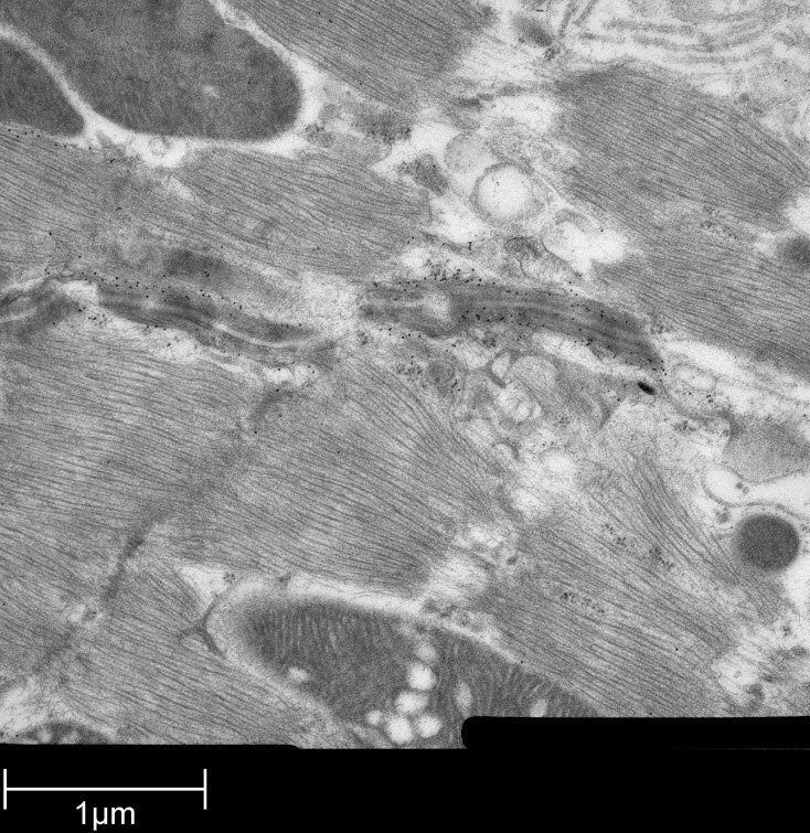
免疫 - 电子显微镜高压冷冻,冷冻取代小鼠心脏
Leica EM AFS2 - 生命科学研究的应用笔记
协议HPF - AFS鼠标心脏IEM:
切除来自野生型(WT)和αt-catenin KO(KO)小鼠的小鼠心脏组织,浸入20%(w / v)bsa和冻结立即在高压冰箱中徕卡EM协议(188金宝搏的网址徕卡微系统,维也纳,奥地利)。
冻替代使用a进行徕卡efs.(188金宝搏的网址Leica MicroSystems)在含有2%DDH2O和0.1%戊二醛的干丙酮中的干燥丙酮如下:-90℃24小时,每小时2°C增加15小时,24小时,24小时,每小时2°C增加15小时,24小时增加-30℃。然后将样品在-30℃和0℃之间在-30℃和0℃之间在纯丙酮中洗涤3次,并缓慢升温至4℃,在4℃下逐步渗透,在LR-White中逐步渗透并嵌入胶囊中。聚合在徕卡进行em.AFS使用紫外线在20°C时从6天开始6天,以37°C结束。
超薄部分是使用超微问题制作的徕卡EM UC6并在徕卡染色em.AC20在乙酸铀酸盐中40分钟,在20℃下柠檬酸铅含铅10分钟。使用来自Ditabis(德国Pforzheim,德国Pforzheim)的图像板技术,用JEM 1010透射电子显微镜(JEOL,东京,日本)观看网格。如前所述进行免疫标签和标记量化(Goossens等,2007)。
以下初级抗体用于免疫 -em.:CX43-多克隆兔(1:50; SIGMA)和DESMIN多克隆兔(1:50; ABCAM)。在李等人的文章中。还显示了其他图像,处理(与徕卡em.契约和徕卡em.AFS)对于斯派(Spurr)的树脂和HM20(用Leica HPM010),但这没问题,我们在这里解释的协议是针对所示的图像。
有关详细信息,请参阅:Li等人,J细胞SCI 2012 125:1058-1067;DOI:10.1242 / JCS.098640
作者
主题和标签
有兴趣了解更多吗?
与我们的专家交谈。我们很乐意回答所有问题和疑虑。
188金宝搏的网址联系我们你更喜欢个人咨询吗?
-
188金宝搏的网址Leica Microsystems Inc.1700 Leider Lane.布法罗格罗夫那IL 60089. 美国办公室电话 :+1 800 248 0123188bet官网1服务电话:1 800 248 0223传真:+1 847-236-3009




