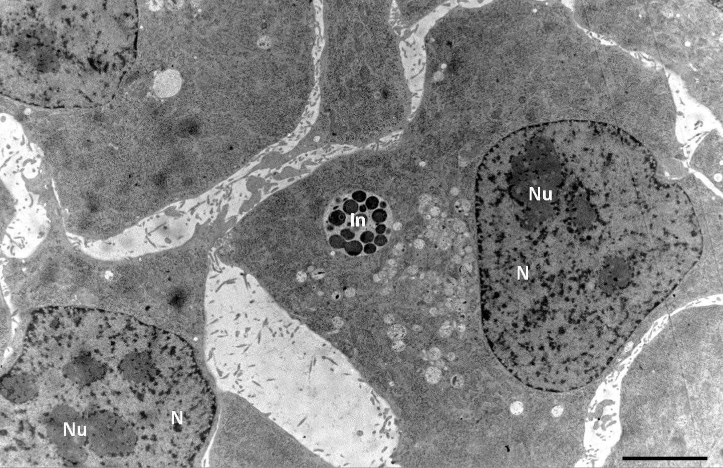
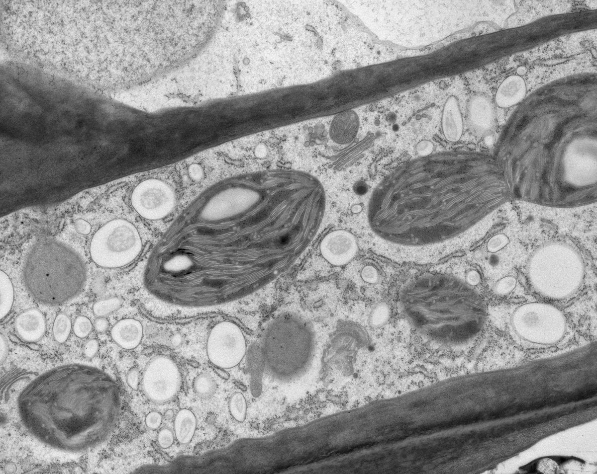
高压冷冻和冷冻替代拟南芥根尖细胞的电镜观察
礼貌:de Rycke R
采用HPF - AFS协议进行形态学分析
拟南芥的根(突变体PIN1pro:PIN1-绿色荧光蛋白bex5-1),浸泡在20% (w/v)的牛血清白蛋白(BSA)中,立即冷冻在高压冰箱(Leica)中新兴市场协议)。
冷冻替换是用徕卡进行的新兴市场AFS2在含1% ddH的干丙酮中2O, 1% OsO4及0.5%戊二醛,为期4天,如下:
- -90°C 24小时,
- 每小时增加2°C,持续15小时,
- -60°C 24小时,
- 每小时增加2°C,持续15小时
- -30°C 24小时。
样品在-30°C至0°C之间用纯丙酮洗涤3次,慢慢升温至4°C,在4°C逐步渗入Spurr树脂3天以上,包埋在胶囊中。聚合反应温度为70℃,反应时间为16 h。
使用超微切片机(徕卡EM UC6)和后染色在一个徕卡EM AC20在20°C的醋酸铀酰中浸泡40分钟,在20°C的柠檬酸铅中浸泡10分钟。用JEM 1010透射电子显微镜(JEOL使用来自日本东京的图像板技术在80千伏下工作Ditabis(德国普福尔茨海姆)。
详情见[5].
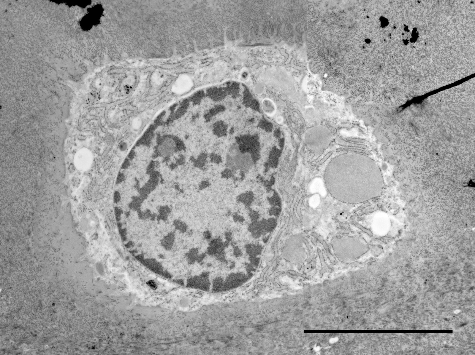
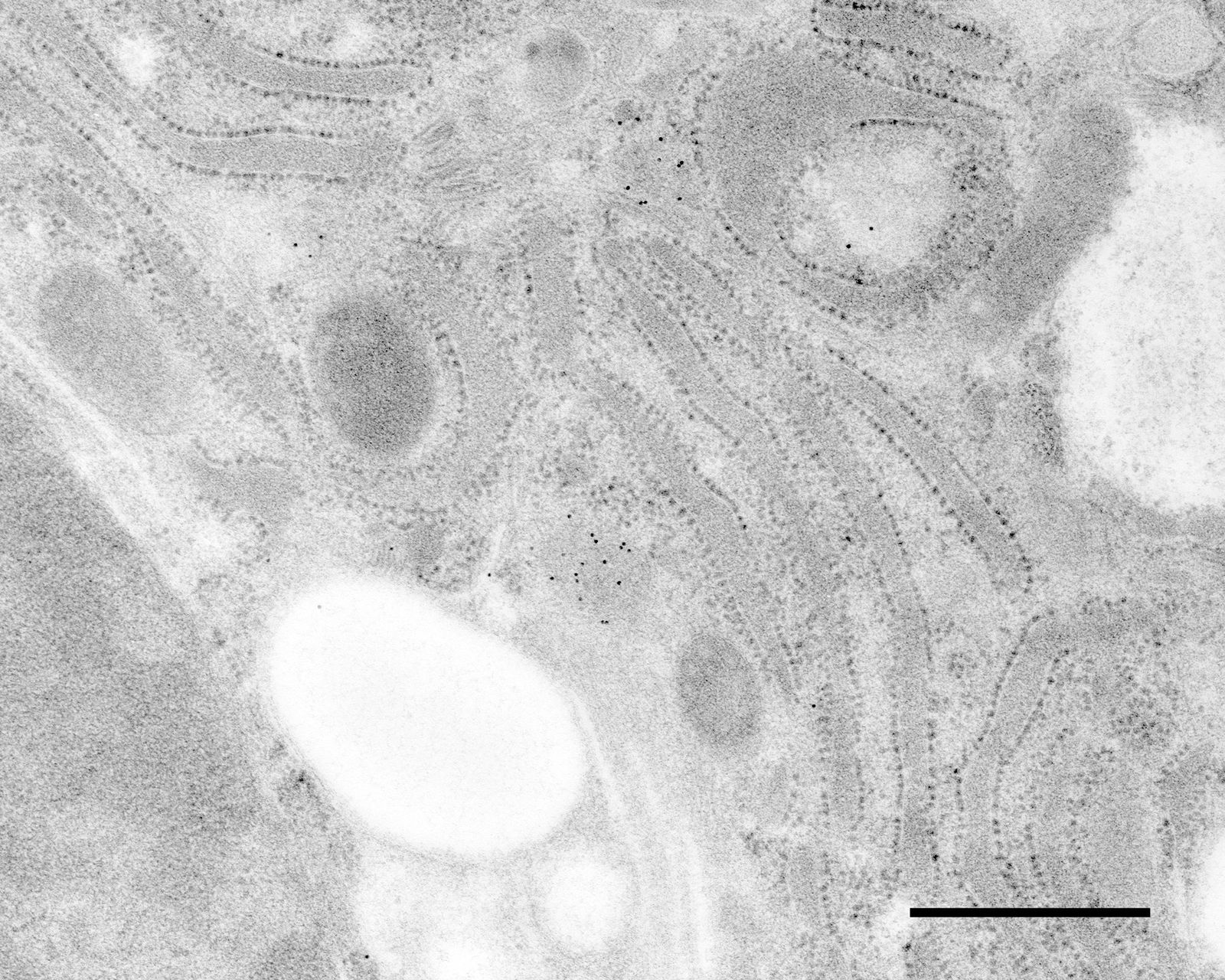
高压冷冻和冷冻替代小鼠心脏的免疫电镜观察
礼貌:de Rycke R
协议HPF - AFS小鼠心脏IEM
从野生型(WT)和αT-catenin KO (KO)小鼠中摘取小鼠心脏组织,浸泡在20% (w/v)的牛血清白蛋白中,立即冷冻在高压冰箱中(徕卡EM协议).冷冻替代是用a徕卡EM AFS在含2% ddH的干丙酮中2O,以及0.1%戊二醛,为期4天,如下:
- -90°C 24小时,
- 每小时增加2°C,持续15小时,
- -60°C 24小时,
- 每小时增加2°C,持续15小时
- -30°C 24小时。
样品在-30°C至0°C之间用纯丙酮洗涤3次,慢慢升温至4°C,在4°C逐步渗入lc - white 3天以上,包埋于胶囊中。聚合反应在徕卡进行新兴市场AFS使用紫外线灯从20°C开始,到37°C结束,6天以上。
使用超微切片机(徕卡EM UC6)和后染色在一个徕卡EM AC20在20°C乙酸铀酰中浸泡40分钟,在20°C柠檬酸铅中浸泡10分钟。
用JEM 1010透射电子显微镜(JEOL使用来自日本东京的图像板技术在80千伏下工作Ditabis(德国普福尔茨海姆)。
免疫标记和标记定量如前所述进行[6].
以下一抗用于免疫新兴市场:
- Cx43-polyclonal兔(1:50;σ),
- Desmin多克隆兔(1:50;AbCam)。
在Li等人的文章中。[7]也显示其他图像,处理(用徕卡新兴市场协议和徕卡新兴市场AFS)的马刺树脂和HM20(与徕卡HPM010),但这没有问题,我们在这里解释的协议是为显示的图像。
感染肺炎衣原体的Hep-2细胞
礼貌:Kaech
协议
将感染肺炎衣原体的Hep-2细胞培养在碳涂层的6mm蓝宝石圆盘上。细胞被高压冷冻在徕卡EM HPM100使用6mmCLEM中间板设置如下:带细胞的蓝宝石片,间隔200µm,裸蓝宝石片,间隔2个200µm。在室温下,乙醇作为同步流体在冷却前传递压力。冷冻后,蓝宝石盘在-90°C无水丙酮中从中间板中取出,立即转移到含2% OsO的2ml Eppendorf管中4在无水丙酮中,在徕卡相机中预冷至-90°C新兴市场AFS2 freeze-substitution单位。
样品被替换
- 8小时在-90°C,
- 8小时在-60°C,
- 8小时在-30°C,和
- 1小时在0°C
周期性的温度梯度为30°C/h。样本然后用无水丙酮洗两次在4°C,沉浸在环氧树脂/环氧树脂33%无水丙酮在4°C一夜之间,紧随其后的是环氧树脂/环氧树脂66%无水丙酮在4°C 6 h,最后100%的环氧树脂/环氧树脂在室温下聚合前2 h 60°C至少24小时1.5毫升埃普多夫管。切片用醋酸铀酰和柠檬酸铅染色。
注意:在高压冷冻过程中使用乙醇作为同步液,对于蓝宝石盘上的细胞培养单层膜来说是没有必要的。通过将蓝宝石盘放置在CLEM细胞朝上的中间板上覆盖着浸在1-十六烯的铝标本载体,100µm空腔面向细胞。
更多的应用图片
荷兰乌得勒支大学Humbel BM van Donselaar EG;Slot JW,乌得勒支大学医学中心,荷188bet怎么注册兰
参考文献
- Steinbrecht RA, Müller M:冷冻替代和冷冻干燥。生物电子显微镜的冷冻技术。施普林格,柏林,第149-72页(1987)。
- Müller M:冷冻电子显微镜在生物学中的集成能力。微物理学报,1:37-44(1992)。
- Hobot JA, Villiger W, Escaig J, Maeder M, Ryter A, Kellenberger E:在超快速冷冻和冷冻取代细菌切片上观察到的类核的形状和精细结构。中华医学会微生物学分会。
- 冷冻固定和冷冻替代的潜力:观察和理论考虑。[j] .中国科学(d辑:地球科学)。
- Feraru E, Feraru MI, Asaoka R, Paciorek T, de Rycke R, Tanaka H, Nakano A and Frimla J: BEX5/RabA1b调控拟南芥反式高尔基网络到质膜蛋白的转运。植物学报24:1-14(2012)。
- Goossens S, Janssens B, Bonne S, de Rycke R, Braet F, van Hengel J, van Roy F: α -catenin和plakophilin-2在心脏间盘混合型连接结构中的独特和特定的相互作用。中国生物医学工程学报。
- Li J, Goossens S, van Hengel J, Gao E, Cheng L, Tyberghein K, Shang X, de Rycke R, van Roy F and Radice GL: αT-catenin的缺失改变了心脏混合粘附连接,并导致急性缺血后扩张性心肌病和室性心律失常。journal of Cell science . 15;中国海洋大学学报(自然科学版);doi: 10.1242 / jcs.098640。


















