Zellkultur
麻省理工学院inversen.Zell-und GewebekulturMikroskopen von 188金宝搏的网址Leica Microsystems Bekommen Sie Das,是Sie Brauchen,undKönneniefefizienzIhres Arbeitsablaufserhöhen。
Diese Einfach Zu Bedienenden Mikroskope Geben IhnenDieMöglichkeit,Auf Die Anforderungen Ihrem LablueChiteNeungen ZugeschnittereneBildgebungslösungenMitFlexiblen Kondensoroptionen undiquidenen Bildgedbungs- / Dokumentationsfunktionen Zu Konfigurieren。
UnsereExpertenfürzellkulturanwendungen彼得·赫恩·吉恩Weiter。
Eigenschaften der Zellkulturmikroskopsysteme von Leica
- Einfache Bedienung,Die Nur Minimale Einarbeitung und Wartung Erfordert,Sodass Sie Sich Ganz Auf Ihre ForschungKonzentrierenKönnen
- Kühle,Farbsichere Led-BeleuchtungFürkonstante farbtemperatur Durch AlleIntensitätsstufen
- Einfache Fluoreszenz(可选)荧光标记
- HD-Bildgebung(可选) - Die HD-Kamera Kann Direkt A eInen Monitor PC Angeschlossen Werden und Liefert Hochwertige,ZurVeröffentlichungGeeigneteBilder
- Flexibler Arbeitsabstand BIS ZU 80 mm,Fürobjektträger,Petrischalen,MikrotiterPlatten undHöhersplattenGeeignet
- Zellfabrik -/-hotellösungfürgefäßebis zu einerhöhevon 400 mm
finden sie ihrepersönlichezellkulturlösung
finden sie ihrepersönlichezellkulturlösung
Bei der Arbeit在Der Zellkultur Gibt Es Einige Unterschiede Zwischen Den Instrumenten,Die Zur Auswahl Stehen。Wenn SieUnterstützungFürIhreArbeit在Der Zellkultur Suchen,Beantworten Sie Bitte Diers Kurzen Fragen。
Verwenden Fluoreszenz吗?
BenötigenSSitaldicisierteErgebnnisse?
您有卡梅拉吗?
WelcheGefäßeVerwendenSie?
Zellklassifizierung
Das Aussehen von Zellen
我是劳工gezüchtete Tierzellen lassen sich and hand mehrerer Kriterien unterscheiden:
- Ihre.形态学在他们的领导下。在内的fibroblastenartigenzellen eine bi-oder multipolare,gestrectte形式haben,habenepithelartigeZellen einen polygonalen Umriss。我一直在这里工作lymphoblastenartigeZellen Nicht Auf EinerOberfläche,Sondern暂停。
- 迪拉尔arten.Lassen Sich In.immortalisierteZellen,Primär.zellen和stzellen gliedern。
- 迪拉尔组织康von einfachen 2D-Monokulturen.über2d-Co-Kulturen.Bis hin zu 3d-Sphäroiden.und.有机化塞森
Zellkulturmaterialien.
Kultivierung冯Zellen
verschiedenen的Tierzellen werdenGefäßen.- von winzigen mikrofluidiksystemenfürdie grundlagenforschungüber96er-mikrotiterplattenfürdasscreening bis hin zulkultulturflaschen und zellfabrikenfüriepharmazeutischegroßproduktion - kultiviert。
Da Es Sich UmEinweggefäße寄生箱,Bestehen Sie Meist Aus Kunststoff。Einige Sind SpeziellFürMikroskopieanwendungenvorgesehen und Haben Deshalb Einen Glasboden。
达斯媒介Für-Zellkulturenenthält
- 瓦西
- Eine Energiequelle.
- Aminosäuren.
- 维生素
- 和Salze
Außerdementhälteseseinpuffersystem sowie einen ph-indikator zur kontrolle auf einen ousgewogenen ph-wert。
Pflege von zellkulturen.
worin besteht dietäglichearbeit?
Da Die Bestandteile des Kulturmediums von Den Zellen Konsumiert Werden,Muss EsRegelmäßherderneuertWerden。Bei Dieser Gelegenheit Sollten Die Zellkulturen Einer VisuellenPrufung在这段时间里,微生物学很重要。
我们的一生都是不朽的。Deshalb müssen您immer wideraufgeteiltund auf单独的kulturgefäßeÜbertragenwerden(段落)。
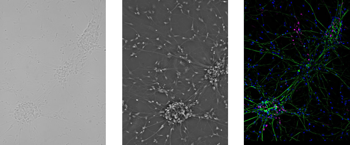
Häufig遗传实验verändert。Mithilfe冯Transfektionfügen Wissenschaftler dem相关蛋白beispielsweiseFluoreszenz市场Hinzu,UM ESAnschließendMit Einem Mikroskop Zu Visualisieren。
Mikroskope - Grundlegende Anforderungen
Welches Werkzeug Brauche Ich?
Zur Bewältigung der täglich in einem Zellkulturlabor and fallenden Arbeiten ist in Mikroskop erforderlich。Dieses Mikroskop sollte eine逆构形haben。贝einem solcheninversen Mikroskop在调查和Kondensor darüber中发现了这一目标,这一目标的来源是Nähe这一目标是在Zellen和大Arbeitsabstand中发现的darüber。
在Zellkulturmikroskop kontrastverfaren Zellkulturmikroskop kontrastverfaren Zellkulturmikroskop kontrastverfaren Zellkulturmikroskop kontrastverfaren z. B。Phasenkontrastbieten。迪拜国际资本(差动干扰对比)这是一个很好的例子,它是一个很好的例子für它是一个文化的例子Kunststoffgefäßen它是一个例子。Eine sehr gute替代zum迪拜国际资本坚持IMC.(集成调制对比度),Ein Verfahren,Das BeiKunststoffgefäßenAnwendbarIst undAußerdemkeineSpeziellenObjektive Oder Prismen Erfordert。Außerdemsollte ein zellkulturmikroskop einfach zu handhaben sein,Um Zeitverluste Zu Vermeiden。
Zellkulturmikroskope von Leica Bieten DenHohen Bedienkomfortund DieFlexibilität在Bezug Aufkontrastverfahren,die sieFürIhreituellenZweckeBenötigen。
Mikroskope - erhöhteAnforderungen
Welches Werkzeug Brauche Ich?
Eine in der Zellbiologie sehrgebräuchlichevorglehenswisebesteht darin,ZellenFürieAnschließendeUntersuchung Mit EinemForschungsmikroskop麻省理工学院Fluoreszenzmarkern祖茂堂transfizieren。您要是麻省理工学院荧光Zierenden蛋白Arbeiten,BenötigtIHRZellkulturmikroskop - Beispielsweise Zur Kontrolle der Transfektionseffizienz - Auch EineFluoreszenz选项。
Füreine sinnvolle.搬家und.标准化sollte das Mikroskop mit einer DigitalkameraAusgestattet Sein Und LeganerweiseDieMöglichkeit生物,Die Erfassten Laten Zu Speichern Zu Verarbeiten。
Da在Zellkulturlaboren dasPlatzangebotOFTEingeschränktist,Sollte Ein Zellkulturmikroskop Beispielsweise NichtZuGroßSein,Um Unter Eine Sicherheitswerkbank Zu Passen。Außerdemerfordern neuere趋势mikroskope,die克莱林und.强壮的Genug sind,um sogar在einem indubator eingesetzt werdenzukönnen。
ZellkulturProdukte.
按应用区域过滤
THUNDER Imager EM Cryo CLEM
Der THUNDER Imager EM Cryo CLEM ermöglicht die präzise识别Zellstrukturen和die reibung and sichere Übertragung von Koordinaten, bilderund Proben in ihrelven工作流。
宝拉
智能细胞成像
ARTOS 3 d
UltraMikrotomFür阵列 - 结构
dmi8 s plattform.
Fürrestine- bis Lebendzellforschung
徕卡EM ACE600.
Hochvakuum-Coater
徕卡EM ACE900
Gefrierbruchsystem毛皮High-End-Kryo-Beschichtung
徕卡EM UC7
Das Ultramikrotom für ausgezeichnete Schnitte在Raum- and tieftemperature下
徕卡DMI1.
反转Einstiegsmikroskop.
徕卡DM IL LED
反向Labormikroskop mit LED-Beleuchtung
Mikroskope für die groß production
生物材料模具生产,wie z. B. Proteinen, Impfstoffen oder Antikörpern, erfordert Zellkulturen in großen Gefäßen。
在darauf的研究中,研究人员在Arbeitsabstand和Sichtfeld bieten的研究中,做了大量的研究。Außerdem benötigt es eine hohe Stabilität, um große Gefäße oder gar Gefäßstapel sicher aufnehmen zu können。
Das Leica DM IL LED KANN MIT EINEM EXTRALANGEN DURCHLICHT-BELEUCHTUNGSARMAUSGERÜSTETWERDEN,DECH DEN SIEDENFÜRZELLKULTUREFÄßEBISZUEINERHÖHEVON40cm ERFORDERLICHEN FREIEN ARBEITSABSTONTERTHALTEN ERHALTEN。
Zellbasierte化验
LebendzellanWendungen.
Die Zellkultur ist.dynamisch.他是世界上最重要的生物系统之一。对此这永久überwachungDer ZellkulturUmständenVorteilhafterAlsPunktuellePrüfungen。
Hier Kommen Mikroskope Ins Spiel,Die IM Inkubator Untergebracht Werden und Die Zellen Rund Um Die UhrÜberwachenKönnen。Damit Kann Eine Zellkultur Jederzeit und von Jedem beliebigen Ort Aus Beispielsweise Aufkonfluenz.uberpruft了。
interesse geweckt?
Sprechen Sie Mit Unsetring Experten。Wir Beantworten Gerne Alle Ihre Fragen und Anliegen。
kontaktieren酸蛋白wünscheneinepersönlicheberatung?
-
188金宝搏的网址徕卡微系统有限公司1700 Leider Lane.布法罗格罗夫,IL 60089. 美国电视:+1 800 248 0123188bet官网1服务电话:1 800 248 0223传真:+ 1 847-236-3009




