介绍
作为关键污染物的颗粒:有洁净度要求的工业部门
用于运输(汽车/卡车,航空/航空航天,铁路),微电子(集成电路,印刷电路板,半导体)和医疗保健(制药和医疗设备)行业的污染敏感产品和产品组件具有非常严格的清洁需求188bet怎么注册为了提高他们的性能,可靠性和寿命[1]。
污染的类型和产生方式
有几种基本类型的污染[1](见图1):
- 颗粒污染:无生命或无机物,如生产过程中的残留物,如磨蚀或研磨产生的颗粒或来自当地环境的灰尘,或生物和有机物质,如细菌、真菌、孢子、脱落的皮肤薄片或细胞碎片;或
- 分子污染:有机和无机膜,如制造过程中添加剂的残留物,如低温润滑剂或防腐剂,或指纹。
本报告将重点关注颗粒污染,以确定洁净度,并验证颗粒清洁效果。
影响产品和产品组件清洁度的因素
人员、物流、耗材和流程
对于生产符合洁净度要求的产品及其部件的每一个组织来说,都有一些影响产品洁净度的因素。这些因素是为生产选择的洁净室技术,物流的概念和规划,员工和人员的行动和行为,以及用于生产的设备、材料和工艺的类型(见图2)。
图2:显示制造组织中影响产品清洁度的因素的图表[1,2]。
清洁系统的功效
一个重要的问题是清洁系统如何工作?不幸的是,这个问题没有一般答案。得到的清洁度取决于3个主要因素(参见图3中的图表):
- 清洗方法或过程;
- 污染的种类和数量;和
- 必须清洗的物品的属性;其材料、形状和表面条件(粗糙度等)。
当产生的清洁度取决于每个特定情况时,需要验证清洁功效,存在法律要求,在问题或行业和/或客户或用户特别要求它的情况下通常做实践。
方法和程序
确定产品清洁度
清洁和清洁过程评估
颗粒污染的洁净度评估,在产品组件经过清洗过程之前和之后,可以通过两种方法进行:a直接方法或者一个间接法[1]。
直接方法涉及在不提取或转移颗粒的情况下直接检查表面,通常是光学或电子显微镜。直接分析的优点是没有采样损耗,不需要涉及的提取方法。然而,缺点是只能容易地检测具有足够对比度的粒子,以便可以容易地检测与基板的区别,并且对于具有复杂几何形状的部件是不实用的。
间接方法涉及从正在进行的表面的表面提取或转移颗粒,通常通过脱离在液体或气体介质,剥离或胶带升降机中进行,然后用分析系统评估。间接过程的优点是它对于具有复杂几何形状的组件,检查整个部件,但是在提取步骤期间缺点是粒子损失,由于提取方法,较高的费用,并且需要非常清洁的工作条件避免交叉污染。
粒子分析的图像生成方法:信息内容和先决条件
对于具有图像产生方法的粒子分析,光学(光)显微镜肯定是最广泛的技术。在处理清洁度检查的要求时,与其他方法相比,光学显微镜是最便宜的投资之一,以及用于分析最快的投资。SEM./ EDS更常用于深入研究,例如导致研究,其中更详细的信息,例如,需要颗粒的元素组成。
显微镜的光学分辨率是粒子检测的限制因素。当一个粒子不能被光学系统本身分辨时,因为它的尺寸低于分辨阈值,那么粒子的细节特征将无法被识别。物镜的分辨率(R)取决于用于照亮样品的光的波长(λ)和透镜的数值孔径(NA = n•sin α):
其中n为浸没物镜的介质的折射率,α为进入或退出物镜的最大光锥的半角(见图6)。[5]。
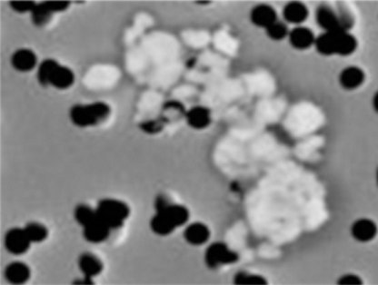
相对于膜过滤器背景的颗粒亮度对比必须足够足以准确地检测颗粒。一旦使用良好定义的灰度值设置阈值,可以通过二值化进行记录在图像内的粒子的分析(参见图7)。一个极端的例子是白色背景上的白色颗粒的情况使得很难找到灰色值,这允许粒子区分,因此几乎不可能实现自动分析。
应用例子
粒子分析是用a徕卡清洁专家系统使用一个徕卡DM2700 M.复合显微镜和徕卡清洁专家软件。可可靠检测和分析的最小粒径为5 μm。
监测当地环境中微粒的沉积
很多对污染敏感的产品对生产环境都有要求,这些产品往往是在满足一定空气洁净度[6]的洁净室生产的。仅从空气中颗粒物的监测(通常使用粒子计数器)来看,无法从当地环境中得出关于颗粒物沉降水平的明确结论。颗粒有多种来源,通常与人员/人员、物流过程、包装、消耗品和生产过程有关。为了量化清洁生产环境中的沉降污染,在关键工艺位置放置了10个沉降板。沉降板在胶带上收集沉降颗粒。曝光7天后,用光学显微镜对沉降板进行评价。
所有10个沉积板的粒子分析结果如图8所示。图8中的图表清楚地显示出具有更高粒子计数的测量位置。通过不同的特征(例如形态学方面或闪亮)的额外分类可以允许纤维和反射颗粒明确鉴定。
潜在造成损害的粒子特性
对于汽车工业中的许多产品组件,都有关于微粒污染的要求。根据部件的不同,某些颗粒可能是致命的并会造成损害。在许多情况下,为了系统地检查不同尺寸颗粒的损伤效应,甚至还需要进行额外的测试。对于这些测试,需要具有相当明确的形态,即尽可能明确的粒子。为了表征这些颗粒的特征,长度和宽度通过自动软件分析检测,额外的人工分析允许颗粒高度测量。为了确定高程,采用了一种具有低景深物镜的光学显微镜。通过聚焦于滤波器背景中的一个点,然后是粒子的最高点,可以从z值的差异中检测出粒子的高度。
使用上述分析表征标准化颗粒的结果如图9所示。
清洁方法功效:未清洗和清洁组件的比较
通过比较非清洁和清洁组分的洁净度分析结果来检验清洗方法的有效性,两者都经过了间接验证过程(见图10)。从图10的结果可以清楚地看出,在50µm到600µm的大小范围内,清洗方法显著降低了产品成分表面颗粒的存在。
总结和结论
清洁度已被证明通过针对多个行业的多样化产品或产品组件进行的调查来帮助提高产品质量。目前,清洁度分析在汽车行业中发挥着重要作用,该行业已经建立了分析组件清洁度的国际标准。已经讨论了清洁性的验证技术,其通过使用涉及颗粒分析的定量方法来确定清洁度。验证是通过直接过程,直接检查组分表面而不提取颗粒,或间接过程,从组分表面提取颗粒。在本报告中,仅详细讨论了应用于去除颗粒污染的间接验证过程。颗粒评估方法通常利用光学或电子显微镜检查。这里据报道了有用的结果,用于使用光学(光)显微镜进行间接清洁性验证过程进行粒子分析。产品清洁过程的功效,即其实现特定水平的产品组分清洁度,也有间接过程验证。
参考
- Kreck G,和Holzapfel Y:纯净理论的有效性。reinraum online(2012年12月);reinraum printline 4-9(2013年1月)。
- 惠普:莱茵劳姆特里克,3rd.版。Springer,Berlin / Heidelberg(2012年)。
- VDA第19部分(2004):功能相关汽车部件的技术洁净度颗粒污染检测,1圣版。
- ISO 16232(2007):道路车辆,部件的清洁度,第1-10部分。
- 阿布拉莫维茨和戴维森:显微镜物镜:数值孔径和分辨率。分子表达,光学显微镜部,国家高磁场实验室,佛罗里达;光学分辨率,维基百科。
- Rochowicz M:GroßeSchritteFürieTepienischeSauberkeit。JournalFürOberflächentechnik(Jot)53(16):10-11(2013)。




























