介绍
迄今已鉴定出18种不同的hdac。他们分为四组基于结构性差异,即类I, II, III和IV hdac(见表1)。前两类被认为是“经典”活动的hdac抑制trichostatin (TSA),而第三类是一个家族的NAD +端依赖蛋白质不受TSA。
| 分类 | HDAC | 亚细胞定位 |
|---|---|---|
| 我 |
HDAC1 | 核 |
| HDAC2 | 核 | |
| HDAC3 | 核 | |
| HDAC8 | 核 | |
| 国际投资协定 |
HDAC4 | 核/细胞质 |
| HDAC5 | 核/细胞质 | |
| HDAC7 | 核/细胞质 | |
| HDAC9 | 核/细胞质 | |
| IIb |
HDAC6 | 主要是细胞质 |
| HDAC10 | 核/细胞质 | |
| 三, |
SIRT1 | 核/细胞质 |
| SIRT2 | 细胞质 | |
| SIRT3 | 细胞核和线粒体 | |
| SIRT4 | 线粒体 | |
| SIRT5 | 线粒体 | |
| SIRT6 | 核 | |
| SIRT7 | 核仁 | |
| 四, | HDAC11 | 核/细胞质 |
标签。1:HDAC概述和本地化。
在酵母中发现与这三类同源物,其名称为:减少钾依赖3 (Rpd3),对应于第一类;组蛋白去乙酰化酶1 (hda1),对应类II;和静默信息调节器2 (Sir2),对应于第III类。IV类(HDAC11)与I类和II类酶同源。III类组被认为是其自身的非典型类别,依赖于NAD+,而其他组需要锌2+作为辅助因子。HDAC的功能和活性因其结构和细胞内定位而异。HDACs在生理和疾病条件下调节细胞活动的重要性使得HDACs成为治疗癌症和炎症疾病的关键靶点。了解它们的细胞功能、定位和抑制作用对于癌症研究和治疗至关重要。
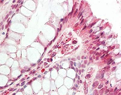
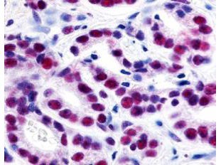
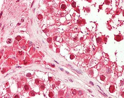
免疫组织化学(IHC)组织样本分析(图2-4)对于检测样本中的蛋白质至关重要,通常用于诊断实验,但不会产生允许共定位实验的图像。
研究蛋白质在细胞内的定位需要精确的高分辨率成像技术。共焦显微镜可提供亚细胞定位信息,分辨率可达200 nm。此外,共焦上多个图像平面的光学切片允许研究体积中的蛋白质位置。随着徕卡TCS SP8 STED 3X(圣刺激E使命D超分辨率显微镜,亚细胞定位现在可以在50 nm以下进行,打破了衍射极限。的使用发生的超分辨率显微镜可以为HDAC家族成员和其他相应分子的定位和功能提供新的认识。
在任何定位实验中,使用高特异性和高亲和力抗体是确保检测结果阳性的关键。质量控制对于此类抗体的开发和制造至关重要,以提供适当目标定位和低背景染色的视觉证据。在这里,我们展示了染色,并比较了在共焦显微镜下进行的HDAC1分析的高分辨率定位与对照发生的显微镜。HDAC1已被证明参与了多个基因的抑制,这些基因涉及多系血液细胞的发育,并需要对昼夜目标基因的转录抑制,如PER1,通过组蛋白去乙酰化由大PER复合物或CRY1介导。HDAC1与MAT2共同去乙酰化p53并调节其对细胞生长和凋亡的影响。
方法
IHC
组织标本用福尔马林固定石蜡包埋固定。蛋白检测采用一抗5µg/mL (HDAC5和HDAC10)或1:500 (HDAC1)室温1 h。二抗:过氧化物酶兔二抗(Rockland, p/n 611-103-122),室温1:10 000孵育45分钟。用苏木精紫或蓝核复染显示蛋白为红色或紫色信号。一抗显示:HDAC1 (Rockland, p/n 600-401-879), HDAC5 (Rockland, p/n 600-401-J69)和HDAC10 (Rockland, p/n 600-401-J75)。
STED显微术的条件
A431细胞(ATCC CRL-1555)在37°C和5% CO下培养2.在Dulbecco's Modified Eagle Medium (DMEM, Invitrogen, MO)中加入10% FBS (Rockland, p/n FBS-01-0500), 25厘米2.细胞培养瓶。当细胞融合达到70 - 80%时,使用TrypLE (Invitrogen, MO)分离细胞,然后在6孔板中放置在# 1.5覆盖层上,直到达到~ 30%的融合。使用冰冷(-20°C)甲醇固定细胞7分钟。细胞固定后,在室温下用PBS冲洗细胞,然后在封闭液中孵育15分钟(PBS/正常山羊血清10%,Triton-X100 0.2%)。随后用兔抗hdac1 1:50 (Rockland, p/n 600-401-879)和小鼠抗角蛋白1:50 (Rockland, p/n 200-301-390)在室温下孵育1小时。细胞在PBS中冲洗3次,10分钟/冲洗,然后在封闭液中孵育15分钟。DyLight 488抗小鼠IgG (Rockland, p/n 610-141-002)和ATTO 550抗兔IgG (Rockland, p/n 611-154-122)在封闭液中以1:100稀释,孵育1小时。细胞在PBS中冲洗3次,然后在自来水中冲洗1次。然后将覆膜装在延长抗褪色试剂盒(Life Technologies, p/n p -7481)中,并在黑暗中至少固化3天。重要的是至少要等待3天,因为延长产品需要时间达到所需的折射率(RI为1.46)成像。 The slides were examined using a LeicaTCSSP8发生的3X显微镜(徕卡微系统公司),188金宝搏的网址使用调谐至470 nm的白光激光激发DyLight 488荧光,550 nm激发ATTO 550。对于发生的如图所示,DyLight 488用于592 nm耗尽型激光器,设置为95%功率,时间选通范围为1.5–6.0 ns;ATTO 550用于660 nm耗尽型激光器,设置为100%功率,时间选通范围为1.5–6.0 ns。
本地化
斯特德显微镜
受激排放耗竭(发生的显微术是一种共焦超分辨成像技术。发生的超分辨率是通过叠加一个激发激光器和一个耗尽激光器来实现点扩散函数(PSF)的光学“雕刻”,然后在视场上进行光栅扫描。耗尽激光束被引入到光路中,形成一个“甜甜圈”形状,与激励光束对齐并叠加(图6)。
甜甜圈耗尽激光通过受激发射过程解除荧光团的激发,同时让甜甜圈空洞中的分子通过正常的荧光过程。通过增加耗尽激光功率,发生正常荧光过程的甜甜圈孔的尺寸减小。利用时间门控,利用正常荧光和受激发光之间的荧光寿命差异,进一步提高分辨率至40nm。有两个主要优点发生的与其他超分辨率技术相比,是一种纯光学分辨率的提高,无需后处理,且能使用光学切片。徕卡TCSSP8发生的3X具有一个592 nm耗尽激光器和/或一个660 nm耗尽激光器。592 nm耗尽激光最适合绿色光谱范围(图7)的染料,如DyLight 488,而660 nm耗尽激光最适合黄色至橙色光谱范围(图7)的染料,如ATTO 550。
结论与未来发展
在这里,我们展示了HDAC1在癌组织(图2)和表皮样癌细胞(图5)中的染色。在分析的样本中,HDAC1定位被确认为细胞核。在某些肿瘤样本中未观察到报道的HDAC1的胞浆染色。使用发生的与共焦成像相比,显微镜显示分辨率明显提高(图5)。这些结果清楚地表明,使用适当的经验证抗体和发生的显微镜是研究超越衍射极限的亚细胞结构的重要工具,它可以纠正定义不清的图像。这在细胞内蛋白质共定位研究中至关重要。
如果出现以下情况,仍需在未来的实验中确定:发生的显微镜可以解决HDAC蛋白与组蛋白或其他蛋白质上乙酰化基团的共定位问题。
参考文献
- 以组蛋白去乙酰化酶为靶点的肿瘤治疗:从分子机制到临床意义。Int。生物。Sci. 10(7): 757-70(2014)。
- de Ruijter A, van Gennip A, Caron H, Kemp Svan Kuilenburg A:组蛋白去乙酰化酶(HDACs):经典HDACs家族的特征。物化学。J。370: 737–49 (2003).
- 蛋白去乙酰化酶的Sir2家族。为基础。生物化学Rev. 73: 417-35(2004)。
- 组蛋白去乙酰化酶抑制剂的分子机制。致癌基因26:5541-52(2007)。
- Marks PA、Rifkind RA、Richon VM、Breslow R、Miller T和Kelly WK:组蛋白去乙酰化酶与癌症:病因和治疗。纳特。牧师。癌症1:194-202(2001年)。
- Minucci S和Pelicci PG:组蛋白去乙酰化酶抑制剂和表观遗传(和更多)癌症治疗的前景。癌症6:38-51(2006)。
- Robert T,Vanoli F,Chiolo I,Shubassi G,Bernstein KA,Rothstein R等:HDACs将DNA损伤反应、双链断裂处理和自噬联系起来。自然界471: 74–9 (2011).
- Kim JY、Shen S、Dietz K、He Y、Howell O、Reynolds R和Casaccia P:病理条件诱导的HDAC1核输出对轴突损伤的发生至关重要。纳特。神经症。13 (2): 180–9 (2010).
- Hell SW和Wichmann J:通过受激发射突破衍射分辨率限制:受激发射耗尽荧光显微镜。选择莱特。19 (11): 780–2 (1994).
- Donnert G、Keller J、Wurm CA、Rizzoli SO、Westphal V、Schonle A、Jahn R、Jakobs S、Eggeling C和Hell SW:双色远场荧光显微镜。生物物理。J.92(8):L67-9(2007)。







