摘要

小型无脊椎动物相关光镜和电子显微镜的精确和快速测绘方案

背景信息:CLEM(相关活细胞和电子显微镜)试图将不同成像策略获得的数据连接起来,通常是在光镜和电子显微镜之间。它已经成功地应用于细胞培养,尽管它在多细胞系统的应用受到定位ROI(感兴趣区域)困难的阻碍。

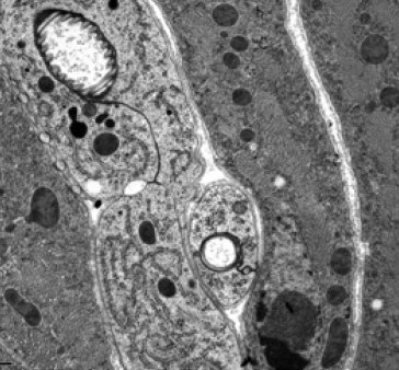
结果:我们开发了一个CLEM该技术使小模型动物易于处理,并适用于形态学和免疫电子显微镜标本的制备。虽然这种方法最初是为秀丽隐杆线虫样本,我们发现它同样适用于果蝇样本。它可以实时处理和观察任何复杂基因型的单个动物,高压冷冻固定,平埋固定。我们的主要改进是开发了一个精确的测绘系统,该系统大大简化和加快了ROI在1 μm距离内的回顾定位。该方法可成功应用于需要相关显微镜检查的病例,也可方便非相关病例的治疗TEM程序。我们的改进打开了用电子显微镜处理数量显著的动物的可能性,并大大简化了电子显微镜协议,使更多的研究人员更容易接触到它们。

结论:我们相信,该技术将有助于多细胞模型的相关研究,并将促进任何类型标本制备的耗时程序TEM

主题和标签

阅读全文:

Kolotuev I, Schwab Y和Labouesse M:
小型无脊椎动物相关光镜和电子显微镜的精确和快速测绘方案

医学杂志。Cell 102: 121-32 (2010);doi: 10.1042 / BC20090096

想知道更多吗?

和我们的专家谈谈。我们很高兴回答您的所有问题和关切。

188金宝搏的网址联系我们

你更喜欢私人咨询吗?

  • 188金宝搏的网址徕卡微系统有限公司
    很遗憾,1700巷
    布法罗格罗夫伊尔60089 美国
    办公室电话:+1 800 248 0123
    188bet官网1服务电话:1 800 248 0223
    传真:+ 1 847-236-3009

你可以在这里找到更详细的本地联系人列表。188金宝搏的网址